ATRAS

Los dientes perdidos deben reemplazarse. Esto es obvio cuando la zona sin dientes está en la parte anterior y más visible de la boca, pero es igual de importante cuando ocurre en el sector posterior, donde se ejercen las fuerzas de la masticación. La pérdida de dientes puede acarrear importantes consecuencias esteticas, si se trata de piezas de la zona anterior, o problemas digestivos y dificultades en la estabilización de la mandíbula, en el caso de las piezas molares.

Si reponemos las piezas que faltan: mejora la estetica, la masticación y se evitan movimientos indeseables de los dientes vecinos.



La protesis fija es una alternativa ideal para reponer la ausencia de piezas dentarias, permite una correcta higiene, es muy bien aceptada psicológicamente y consigue una buena distribución de las fuerzas y resistencia.

Abarca desde la restauración de un solo diente hasta la rehabilitación total de la boca.

Existen dos tipos de protesis fija: corona (o funda) o puente fijo.

Corona

*Es una restauración que se cementa sobre un pilar y reconstruye la forma, función y estetica de un diente dañado. El pilar puede ser un diente natural tallado o un aditamento artificial de un implante dental.

Puente

*Es una estructura que reemplaza a uno o varios dientes ausentes y se fija de forma permanente a los pilares anteriores y posteriores, que sirven de soporte.


Su colocación está indicada en zonas donde faltan pocos dientes y existe un pilar anterior y otro posterior, como mínimo, donde van fijadas las piezas que se reponen.

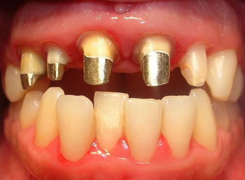
La protesis fija se puede confeccionar con diferentes materiales:

*metal noble (de Oro), actualmente en desuso
*metal semi-noble (Aleación de Cromo y Níquel), se usa en zonas no esteticas, donde las fuerzas masticatorias son intensas, por su gran resistencia; o en muelas de leche muy deterioradas
*metal y cerámica, combinan resistencia y estetica
*cerámica, dan alta estetica
*óxido de zirconio y cerámica, es una novedad en el sector de la Odontologia, ofrecen resistencia, estetica y un ajuste excelente

Es importante que mientras se confecciona la protesis fija los dientes preparados estén protegidos y el paciente se encuentre cómodo. Para ello se cubren provisionalmente los pilares con unas coronas de resina.

Se debe acudir a revisiones periódicas para garantizar el éxito duradero de la protesis fija. Es recomendable realizar una visita al dentista 1 semana después de la colocación de la protesis.

Para comprobar que no quedan restos del adhesivo, que el ajuste es perfecto y funciona correctamente. Las revisiones siguientes se planificarán a intervalos de 6 meses.

Para realizar la higiene diaria de su puente fijo, además del cepillado dental, debe usar una seda dental especial, para limpiar el microespacio que existe entre su encía y la pieza colocada. Esta seda consta de un terminal algo rígido, que facilita la introducción, y una parte esponjosa, que arrastra las impurezas.