|
Gracias a los últimos avances en el campo de la estetica dental, lucir
una sonrisa perfecta es posible. La técnica estetica del diseño de la
sonrisa nació en Estados Unidos y se ha ido implantando en nuestro país.
Es una forma de tratamiento indolora y rápida, que permite lucir una
sonrisa de cine.
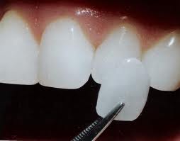
Se basa en un sistema de adhesión de carillas directamente
sobre los dientes. Se puede elegir entre dos tipos de carillas según
el material de elección: carillas de composite o
carillas de cerámica.
Carillas de composite
*Se
modelan unas láminas de composite, que se adhieren a los dientes correspondientes.
Presentan gran versatilidad para corregir alteraciones del tamaño,
forma o color de los dientes.
Carillas de cerámica
*Son
unas finas láminas de cerámica de alta estetica, que se adhieren al
frente anterior de los dientes.

Ventajas:
*Se
consigue una estetica perfecta y permite corregir el color y la forma
de la sonrisa
*Es
un tratamiento muy conservador, porque para colocar las carillas se
preparan los dientes con un simple pulido.
*Ofrecen
una elevada resistencia al desgaste y alta estabilidad del color
Están indicadas en los siguientes casos:
*Fracturas
de dientes
*Diente
individual con cambio de color
*Corrección
de dientes ligeramente apiñados
*Dientes
con defectos en el esmalte
*Cierre
de espacios entre dientes del sector
anterior

No indicadas en:
*Personas
que rechinan los dientes (bruxismo)
*Dientes
con grandes empastes
*Alta
actividad de caries
*Mala
higiene bucal
Cuidados especiales:
*Evitar
el uso de enjuagues que contengan clorhexidina
*Utilizar
un cepillo dental blando
*Usar
pasta de dientes poco abrasiva,
que contenga fluoruro sódico
*Acudir
a la consulta dental cada 3 meses para revisión
Adornos dentales(brillante dental) *Si
ya luces unos dientes bonitos y deseas embellecer tu sonrisa aún más,
puedes darle un toque original colocando el brillante dental:
* no
mancha ni estropea el diente
*no
se necesita perforar el diente, se coloca con un adhesivo dental especial
de uso exclusivo para dentistas
*permite
cepillarse los dientes con normalidad
*se
puede quitar en cuanto se desee, acudiendo a la consulta dental
*es
seguro y no se desprende con facilidad
*puedes
elegir entre diferentes diseños y colores
|